Služby pro lékaře a pacienty

V případě zájmu můžu pomoci s následujícími ošetřeními. Jedná se m.j.  o témata na která vedu školení . . .

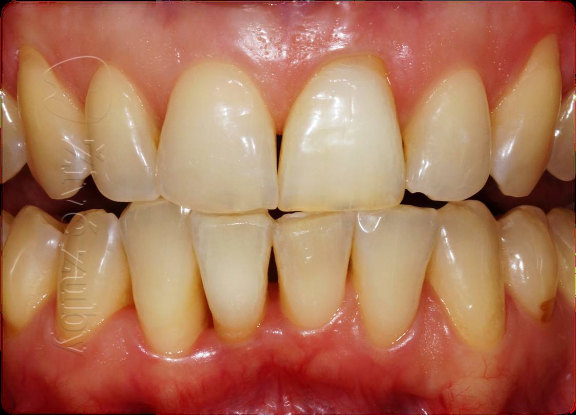
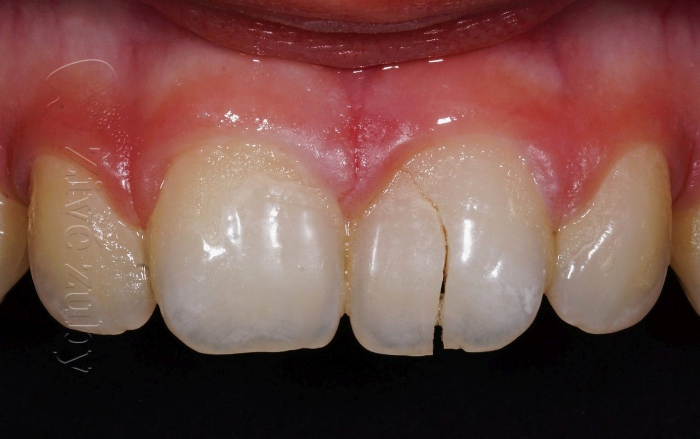
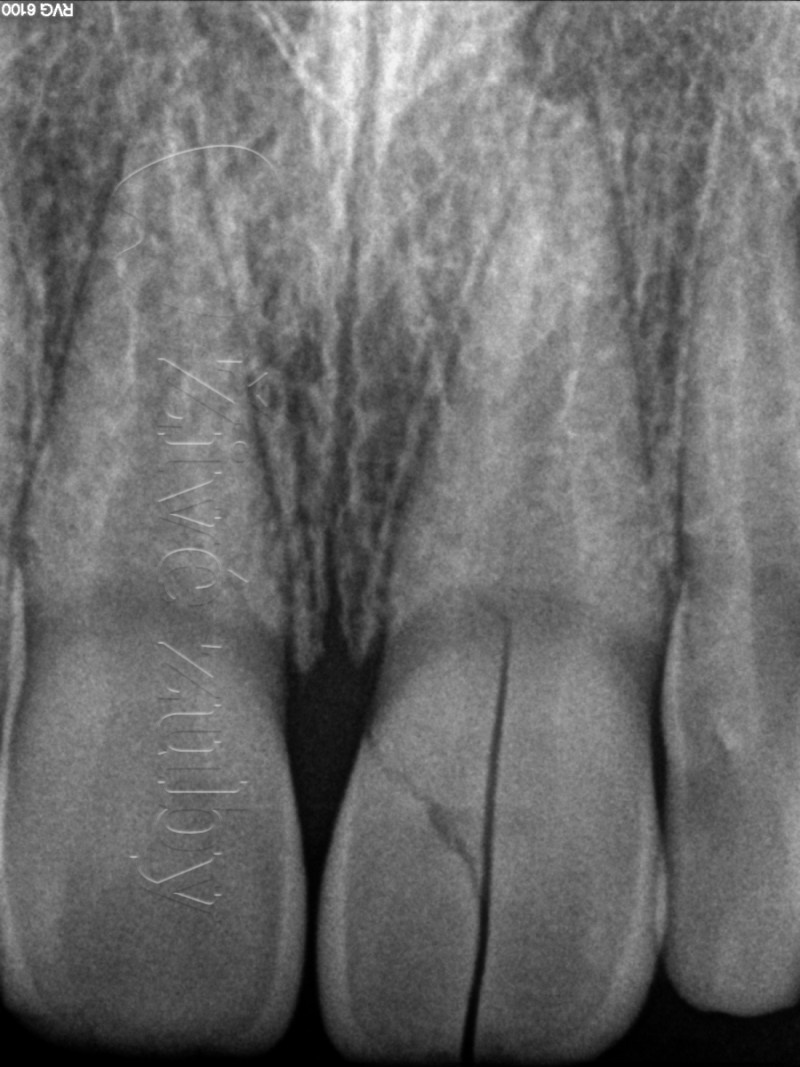
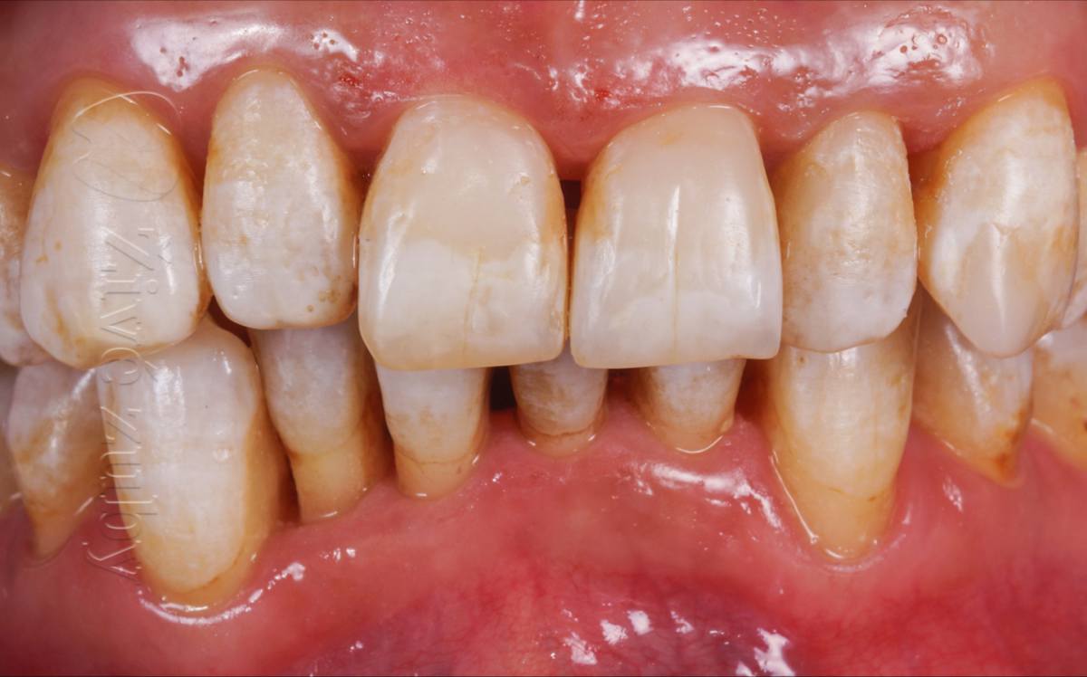
Fraktury zubů
(nekomplikované, komplikované, pulpotomie, … )

Výchozí stav  ——-  Kontrola po 2 letech

Mikroabraze a Infiltrace skloviny
(Ošetření Fluorózy a podobných lézí, demineralizaci skloviny, …)

Výchozí stav  ——- Kontrola po 2 letech 

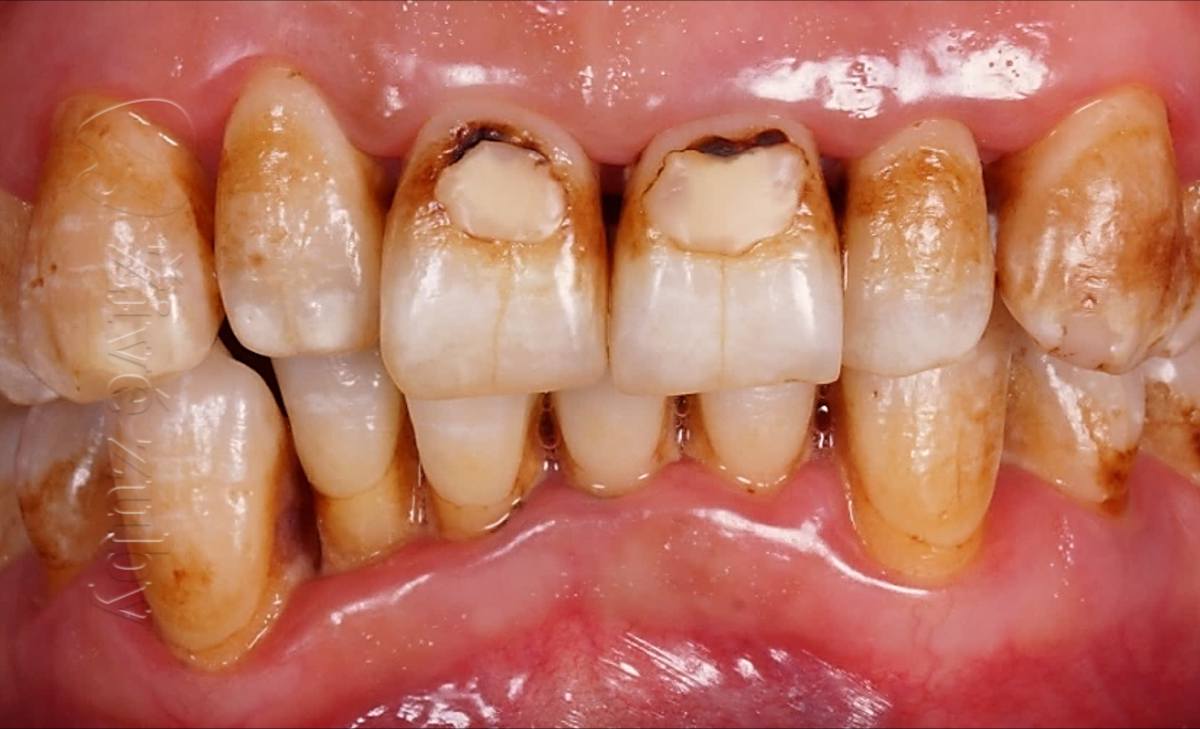
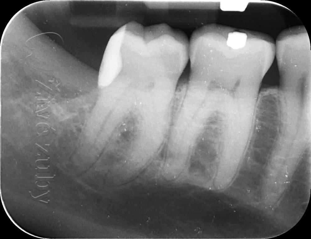
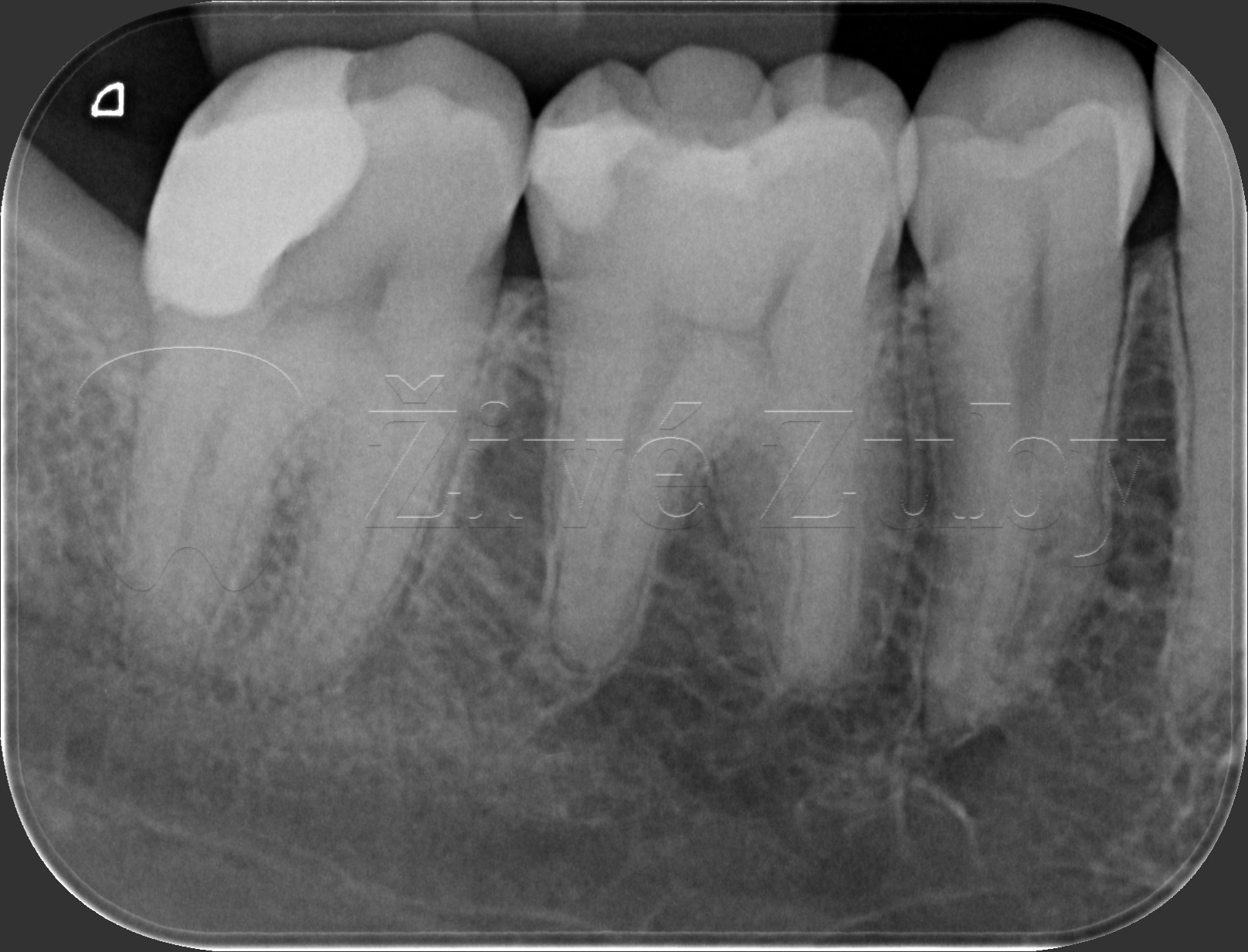
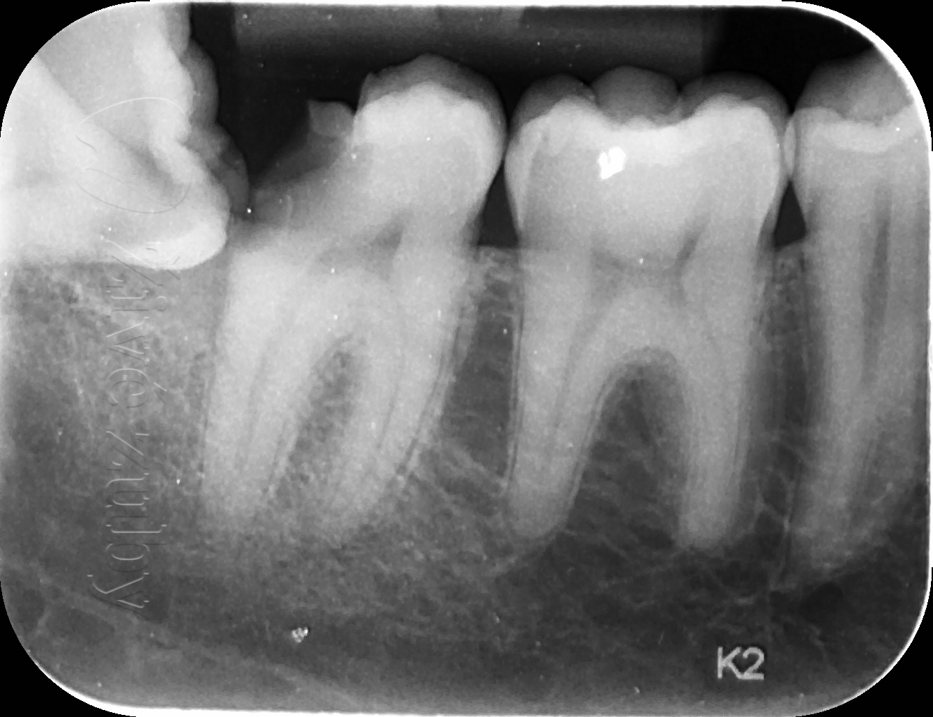
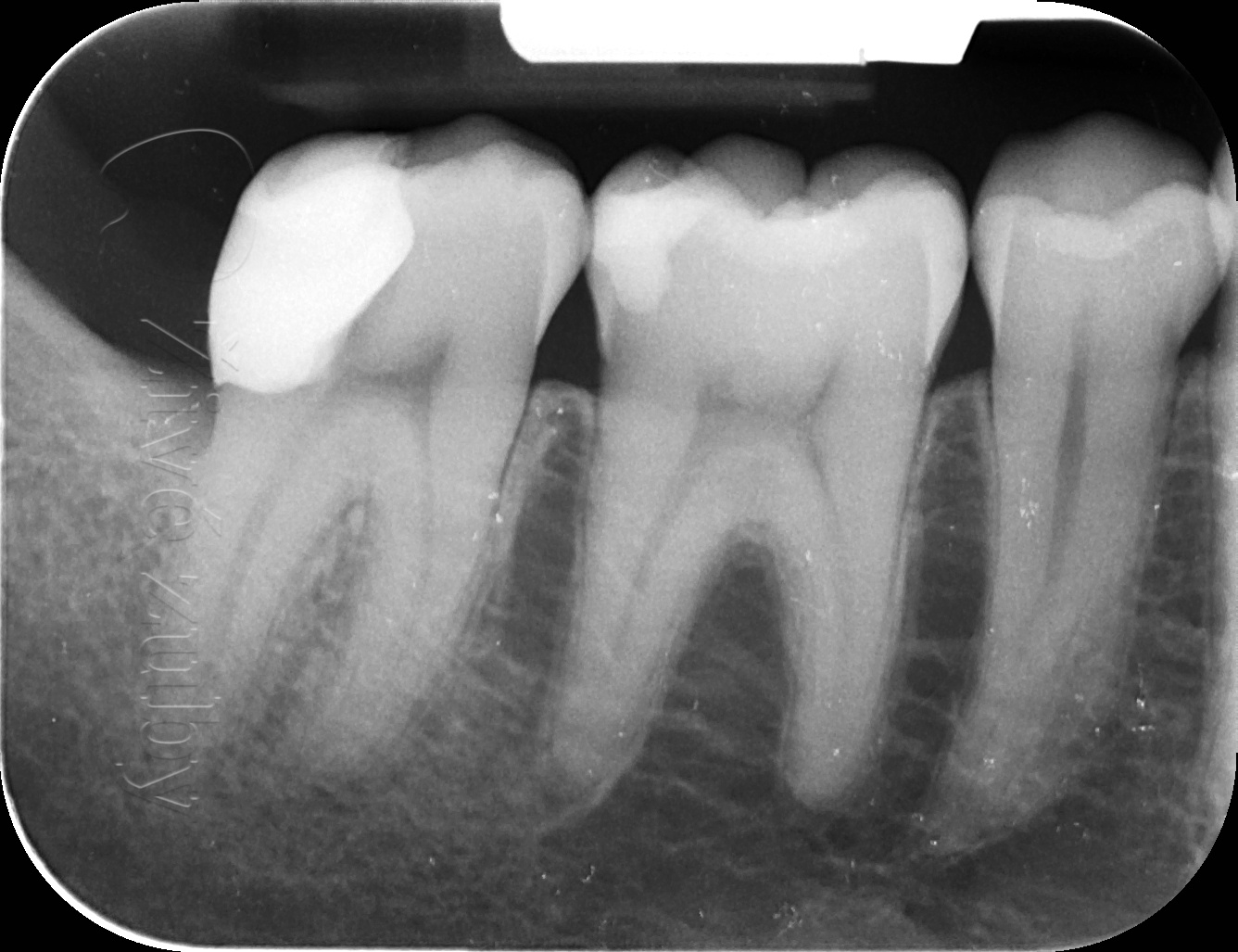
Ošetření hlubokých kazů

Výchozí stav  ——-> Kontrola po 2 letech ——--> Kontrola po 3 letech

Ošetření obtížně dostupných kazů

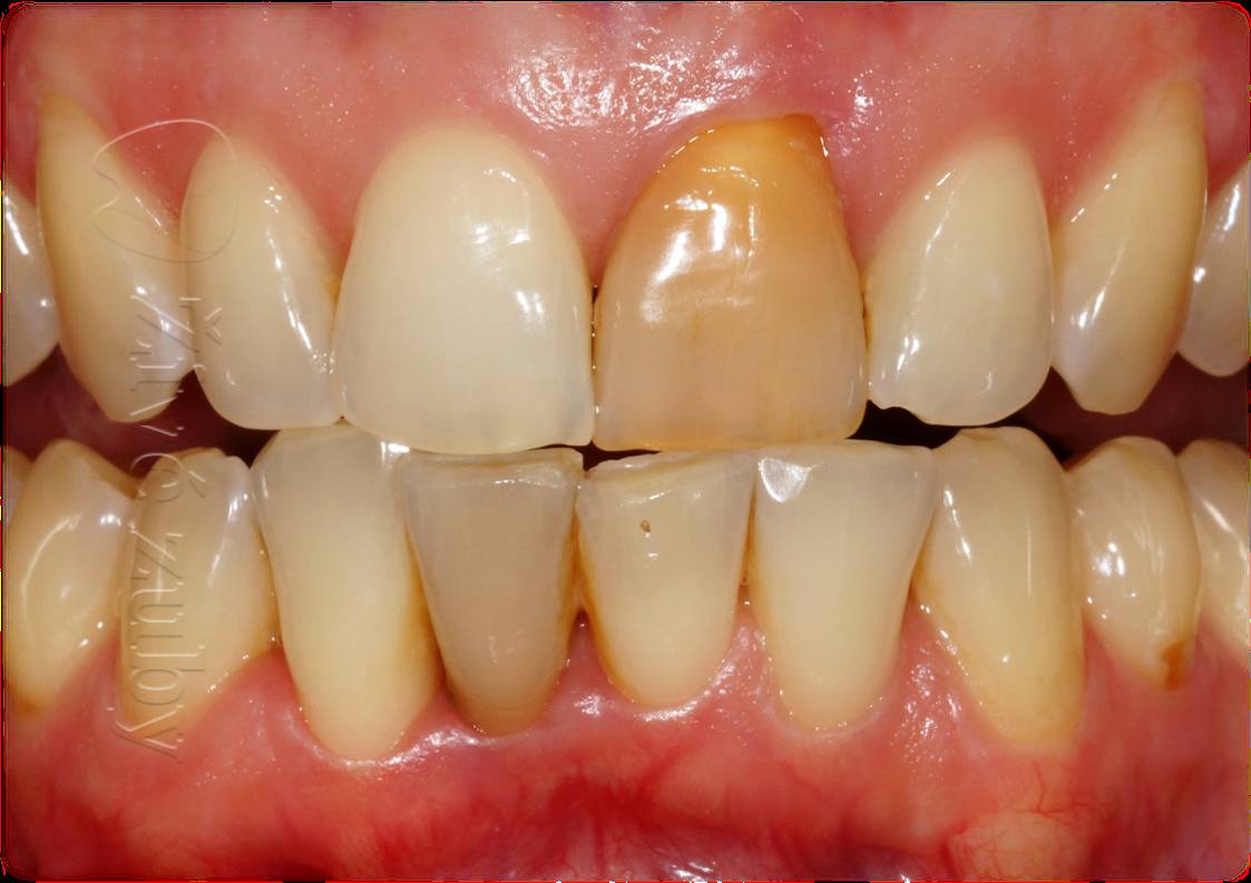
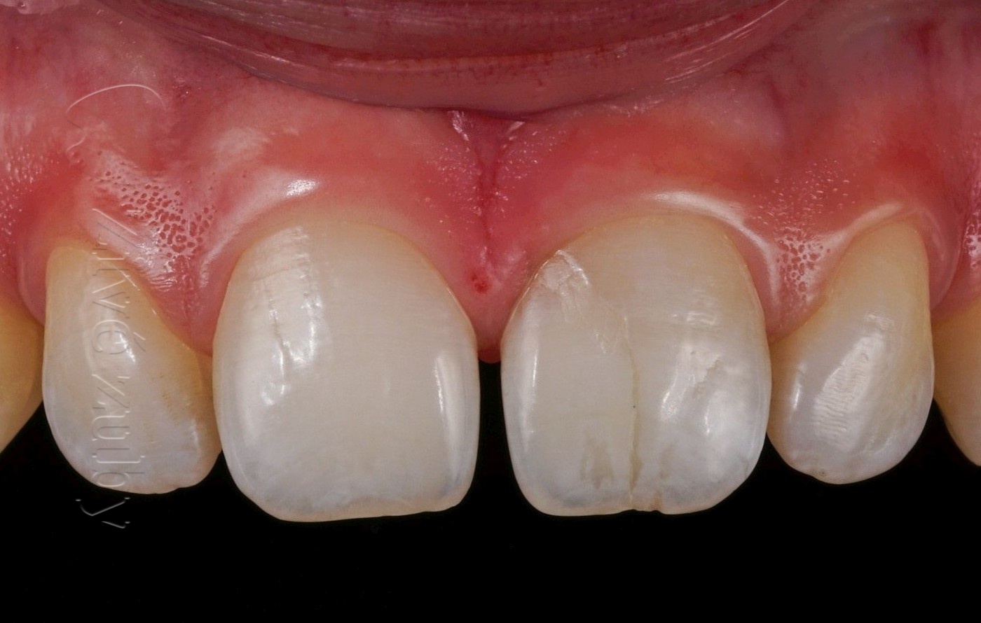
Vnitřní bělení zubů

Bělení zubů (žluté zuby, tetracyklinové zuby,….)