Jak postupovat v případě hlubokých zubních kazů, které zasahují do blízkosti zubního nervu? Zajisté se jedná o velice časté dilema stomatologů. Jedna část lékařů preferuje „ošetření na jistou“ a provádí preventivní endodontické ošetření. Druhá část lékařů se snaží o záchranu vitálního zubu a „preventivně neumrtvuje. V čem se tyto dva přístupy liší?
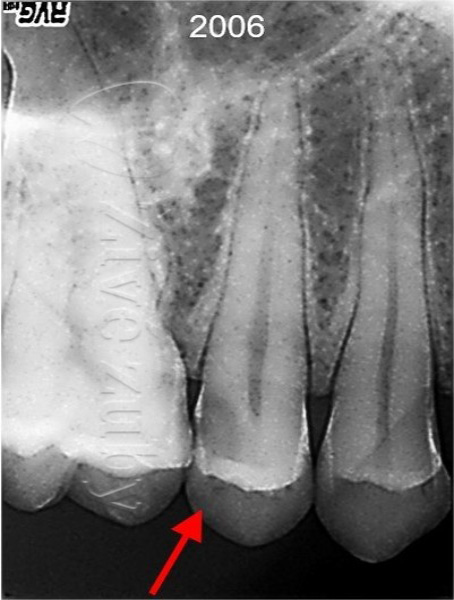
V roce 2006 nás navštívil dospělý pacient s hlubokým zubním kazem, který zasahoval do blízkosti zubního nervu (červená šipka na RTG snímku). Zub reaguje vitálně a pacient si stěžuje na citlivost při jídle.
Varianta A
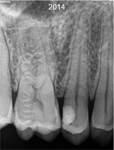
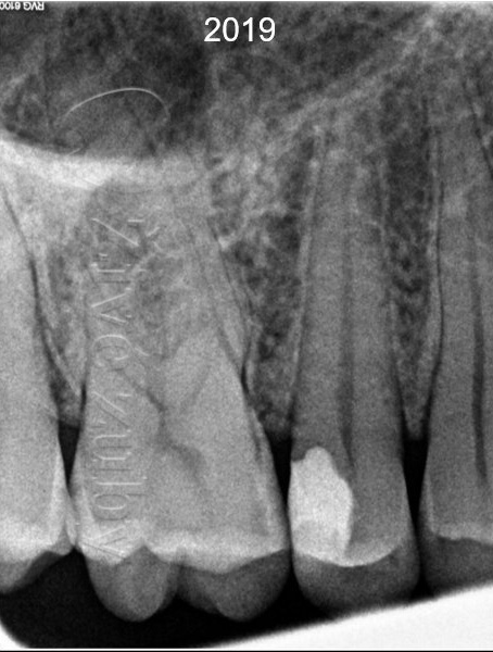
Pokus o záchranu zubu se zachováním vitality. Obvykle k tomu postačuje zhotovení zubní výplně. Odhadovaná cena ošetření je cca 1000 – 2000Kč (dle rozsahu). První výplň bylo nutné vyměnit cca po 10 letech. V případě selhaní je záložní plán endodontické ošetření (viz varianta B).
Varianta B
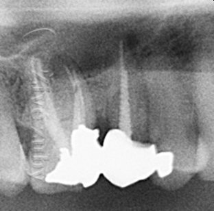
„Ošetření na jistotu“ spočívá v endodontickém ošetření, které je provedeno z důvodu hlubokého kazu. Zvýšené riziko zánětu a nekrózy zubního nervu by mohlo představovat nepříjemnou zkušenost pacienta. V té době bylo doporučováno „zpevňovat zuby“ kovovými čepy a zhotovit zubní korunky s poměrně výraznou preparací. Odhadovaná cena ošetření je cca 10 000Kč. Z dnešního pohledu se jedná o ne zcela vhodné postupy, které vedly k předčasnému selhání práce a extrakci zubu. Záložní plán spočívá v zavedení zubního implantátu, cca 30 000Kč.
Závěr
Při pečlivém stanovení vitality zubu je úspešnost biologicky orientovaného ošetření vyšší ale i výrazně levnější. Jednoduší postupy jsou prediktabilnejší a dostupnější jak pro lékaře, tak i pro pacienta. Šetrný přístup z dlouhodobého hlediska má výhodný cost-benefit (šetří zuby pacienta i jeho peněženku). Odsunutí náročnějšího ošetření přináší výhodu modernější medicíny. Odklad jen o několik let přináší pokrok jak v materiálech, tak i dovednostech ošetřujícího lékaře. V případě selhání ošetření existuje záložní plán na záchranu zubu.
„Ošetření na jistotu“ je tak velice sporné – kromě extenzívních nákladů na ošetření ve finále nepřináší více výhod ani jistot. Preventivní endodontické ošetření tak odpovídá spíš rituálnímu jizvení primitivních národů.
Zubní ošetření nevnímám jako sériovou výrobu „na jistotu“, ale individuální ošetření se snahou o dosažení co nejdelší životnosti zubů / chrupu jako celku.






